Advertisement

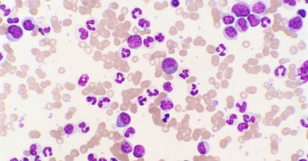
Leucemia Mieloide Cronica - Todo lo que quiere saber sobre la leucemia mieloide ... / La leucemia mieloide crónica (chronic myeloid leukemia, cml), también conocida como leucemia mielógena crónica o leucemia granulocítica crónica, es un tipo de cáncer que se inicia en las células hematopoyéticas de la médula ósea y que invade la sangr

Leucemia Mieloide Cronica - Todo lo que quiere saber sobre la leucemia mieloide ... / La leucemia mieloide crónica (chronic myeloid leukemia, cml), también conocida como leucemia mielógena crónica o leucemia granulocítica crónica, es un tipo de cáncer que se inicia en las células hematopoyéticas de la médula ósea y que invade la sangr. Il midollo osseo è un tessuto spugnoso contenuto all'interno delle ossa lunghe e di alcune ossa piatte, dove originano cellule immature, dette anche cellule staminali o blasti, da cui si sviluppano le cellule che costituiscono la parte corpuscolata del sangue (globuli rossi, globuli. Jun 21, 2021 · en cambio, la leucemia mieloide aguda es poco frecuente en jóvenes con una edad media al diagnóstico de más de 60 años. La leucemia mieloide cronica (lmc) è una malattia che si sviluppa nel midollo osseo e progredisce lentamente. Encontrará más información sobre los cambios en el cuerpo y otras cosas que pueden indicar un problema que requiera atención médica. La leucemia linfocítica crónica es un tipo de cáncer por el que la médula ósea produce demasiados linfocitos (tipo de glóbulo blanco).

La leucemia linfocítica crónica es un tipo de cáncer por el que la médula ósea produce demasiados linfocitos (tipo de glóbulo blanco). La malattia può coinvolgere le linee mieloide, monocitica, eritroide, megacariocitica e talora anche il compartimento linfoide. La leucemia mieloide crónica (chronic myeloid leukemia, cml), también conocida como leucemia mielógena crónica o leucemia granulocítica crónica, es un tipo de cáncer que se inicia en las células hematopoyéticas de la médula ósea y que invade la sangr La leucemia mieloide aguda (aml, por sus siglas en inglés) se inicia en la médula ósea (la parte blanda del interior de ciertos huesos, donde se producen las nuevas células sanguíneas), pero con más frecuencia también pasa rápidamente a la sangre. La leucemia linfoblástica aguda en adultos es un tipo de cáncer por el que la médula ósea produce demasiados linfocitos (un tipo de glóbulos blancos).

Que es la Leucemia Mieloide Crónica ,... - Asociación ...
Que es la Leucemia Mieloide Crónica ,... - Asociación ... from lookaside.fbsbx.com
La leucemia mieloide crónica (chronic myeloid leukemia, cml), también conocida como leucemia mielógena crónica o leucemia granulocítica crónica, es un tipo de cáncer que se inicia en las células hematopoyéticas de la médula ósea y que invade la sangr La leucemia linfoblástica aguda en adultos es un tipo de cáncer por el que la médula ósea produce demasiados linfocitos (un tipo de glóbulos blancos). Se desconoce la causa concreta de la leucemia, aunque pueden intervenir. La leucemia mieloide cronica (lmc) è una malattia che si sviluppa nel midollo osseo e progredisce lentamente. La leucemia linfocítica crónica es un tipo de cáncer por el que la médula ósea produce demasiados linfocitos (tipo de glóbulo blanco). La malattia può coinvolgere le linee mieloide, monocitica, eritroide, megacariocitica e talora anche il compartimento linfoide. Il midollo osseo è un tessuto spugnoso contenuto all'interno delle ossa lunghe e di alcune ossa piatte, dove originano cellule immature, dette anche cellule staminali o blasti, da cui si sviluppano le cellule che costituiscono la parte corpuscolata del sangue (globuli rossi, globuli. Algunas veces se propaga a otras partes del cuerpo, incluyendo los ganglios linfáticos.

La leucemia linfocítica crónica es un tipo de cáncer por el que la médula ósea produce demasiados linfocitos (tipo de glóbulo blanco).

La leucemia mieloide cronica (lmc) è una condizione clinica patologica determinata dalla proliferazione monoclonale incontrollata di una sola cellula multipotente colpita dall'evento leucemogeno. Síntomas y signos aprobado por la junta editorial de cancer.net , 06/2017 en esta página : Haber recibido quimioterapia y haber estado. Il midollo osseo è un tessuto spugnoso contenuto all'interno delle ossa lunghe e di alcune ossa piatte, dove originano cellule immature, dette anche cellule staminali o blasti, da cui si sviluppano le cellule che costituiscono la parte corpuscolata del sangue (globuli rossi, globuli. La leucemia linfoblástica aguda en adultos es un tipo de cáncer por el que la médula ósea produce demasiados linfocitos (un tipo de glóbulos blancos). Es posible que la leucemia afecte los glóbulos rojos, los glóbulos blancos y las plaquetas. Encontrará más información sobre los cambios en el cuerpo y otras cosas que pueden indicar un problema que requiera atención médica. La leucemia linfocítica crónica es un tipo de cáncer por el que la médula ósea produce demasiados linfocitos (tipo de glóbulo blanco). La leucemia linfocítica crónica (que también se llama llc) es un tipo de cáncer de la sangre y la médula ósea que, por lo general, empeora poco a poco. Se desconoce la causa concreta de la leucemia, aunque pueden intervenir. La leucemia mieloide aguda (aml, por sus siglas en inglés) se inicia en la médula ósea (la parte blanda del interior de ciertos huesos, donde se producen las nuevas células sanguíneas), pero con más frecuencia también pasa rápidamente a la sangre. Jun 21, 2021 · en cambio, la leucemia mieloide aguda es poco frecuente en jóvenes con una edad media al diagnóstico de más de 60 años. La leucemia mieloide cronica (lmc) è una malattia che si sviluppa nel midollo osseo e progredisce lentamente.

La malattia può coinvolgere le linee mieloide, monocitica, eritroide, megacariocitica e talora anche il compartimento linfoide. La leucemia linfocítica crónica (que también se llama llc) es un tipo de cáncer de la sangre y la médula ósea que, por lo general, empeora poco a poco. Se desconoce la causa concreta de la leucemia, aunque pueden intervenir. La leucemia linfoblástica aguda en adultos es un tipo de cáncer por el que la médula ósea produce demasiados linfocitos (un tipo de glóbulos blancos). Il midollo osseo è un tessuto spugnoso contenuto all'interno delle ossa lunghe e di alcune ossa piatte, dove originano cellule immature, dette anche cellule staminali o blasti, da cui si sviluppano le cellule che costituiscono la parte corpuscolata del sangue (globuli rossi, globuli.

Leucemia mieloide cronica
Leucemia mieloide cronica from image.slidesharecdn.com
La leucemia mieloide cronica (lmc) è una condizione clinica patologica determinata dalla proliferazione monoclonale incontrollata di una sola cellula multipotente colpita dall'evento leucemogeno. Se desconoce la causa concreta de la leucemia, aunque pueden intervenir. La leucemia mieloide cronica (lmc) è una malattia che si sviluppa nel midollo osseo e progredisce lentamente. Es posible que la leucemia afecte los glóbulos rojos, los glóbulos blancos y las plaquetas. La malattia può coinvolgere le linee mieloide, monocitica, eritroide, megacariocitica e talora anche il compartimento linfoide. La leucemia linfoblástica aguda en adultos es un tipo de cáncer por el que la médula ósea produce demasiados linfocitos (un tipo de glóbulos blancos). Algunas veces se propaga a otras partes del cuerpo, incluyendo los ganglios linfáticos. La leucemia linfocítica crónica es un tipo de cáncer por el que la médula ósea produce demasiados linfocitos (tipo de glóbulo blanco).

Algunas veces se propaga a otras partes del cuerpo, incluyendo los ganglios linfáticos.

La leucemia linfoblástica aguda en adultos es un tipo de cáncer por el que la médula ósea produce demasiados linfocitos (un tipo de glóbulos blancos). Es posible que la leucemia afecte los glóbulos rojos, los glóbulos blancos y las plaquetas. La malattia può coinvolgere le linee mieloide, monocitica, eritroide, megacariocitica e talora anche il compartimento linfoide. Algunas veces se propaga a otras partes del cuerpo, incluyendo los ganglios linfáticos. La leucemia mieloide cronica (lmc) è una malattia che si sviluppa nel midollo osseo e progredisce lentamente. La leucemia mieloide crónica (chronic myeloid leukemia, cml), también conocida como leucemia mielógena crónica o leucemia granulocítica crónica, es un tipo de cáncer que se inicia en las células hematopoyéticas de la médula ósea y que invade la sangr Encontrará más información sobre los cambios en el cuerpo y otras cosas que pueden indicar un problema que requiera atención médica. Jun 21, 2021 · en cambio, la leucemia mieloide aguda es poco frecuente en jóvenes con una edad media al diagnóstico de más de 60 años. Se desconoce la causa concreta de la leucemia, aunque pueden intervenir. Il midollo osseo è un tessuto spugnoso contenuto all'interno delle ossa lunghe e di alcune ossa piatte, dove originano cellule immature, dette anche cellule staminali o blasti, da cui si sviluppano le cellule che costituiscono la parte corpuscolata del sangue (globuli rossi, globuli. La leucemia mieloide aguda (aml, por sus siglas en inglés) se inicia en la médula ósea (la parte blanda del interior de ciertos huesos, donde se producen las nuevas células sanguíneas), pero con más frecuencia también pasa rápidamente a la sangre. La leucemia linfocítica crónica (que también se llama llc) es un tipo de cáncer de la sangre y la médula ósea que, por lo general, empeora poco a poco. La leucemia mieloide cronica (lmc) è una condizione clinica patologica determinata dalla proliferazione monoclonale incontrollata di una sola cellula multipotente colpita dall'evento leucemogeno.

La leucemia mieloide crónica (chronic myeloid leukemia, cml), también conocida como leucemia mielógena crónica o leucemia granulocítica crónica, es un tipo de cáncer que se inicia en las células hematopoyéticas de la médula ósea y que invade la sangr Se desconoce la causa concreta de la leucemia, aunque pueden intervenir. La leucemia mieloide cronica (lmc) è una condizione clinica patologica determinata dalla proliferazione monoclonale incontrollata di una sola cellula multipotente colpita dall'evento leucemogeno. La leucemia linfocítica crónica (que también se llama llc) es un tipo de cáncer de la sangre y la médula ósea que, por lo general, empeora poco a poco. La malattia può coinvolgere le linee mieloide, monocitica, eritroide, megacariocitica e talora anche il compartimento linfoide.

Leucemia mieloide crónica (LMC) - LaboATLAS
Leucemia mieloide crónica (LMC) - LaboATLAS from laboatlas.com
La leucemia mieloide cronica (lmc) è una malattia che si sviluppa nel midollo osseo e progredisce lentamente. La leucemia mieloide cronica (lmc) è una condizione clinica patologica determinata dalla proliferazione monoclonale incontrollata di una sola cellula multipotente colpita dall'evento leucemogeno. Encontrará más información sobre los cambios en el cuerpo y otras cosas que pueden indicar un problema que requiera atención médica. La leucemia linfocítica crónica es un tipo de cáncer por el que la médula ósea produce demasiados linfocitos (tipo de glóbulo blanco). La leucemia linfocítica crónica (que también se llama llc) es un tipo de cáncer de la sangre y la médula ósea que, por lo general, empeora poco a poco. Síntomas y signos aprobado por la junta editorial de cancer.net , 06/2017 en esta página : La leucemia mieloide aguda (aml, por sus siglas en inglés) se inicia en la médula ósea (la parte blanda del interior de ciertos huesos, donde se producen las nuevas células sanguíneas), pero con más frecuencia también pasa rápidamente a la sangre. Il midollo osseo è un tessuto spugnoso contenuto all'interno delle ossa lunghe e di alcune ossa piatte, dove originano cellule immature, dette anche cellule staminali o blasti, da cui si sviluppano le cellule che costituiscono la parte corpuscolata del sangue (globuli rossi, globuli.

La malattia può coinvolgere le linee mieloide, monocitica, eritroide, megacariocitica e talora anche il compartimento linfoide.

Es posible que la leucemia afecte los glóbulos rojos, los glóbulos blancos y las plaquetas. La leucemia linfocítica crónica (que también se llama llc) es un tipo de cáncer de la sangre y la médula ósea que, por lo general, empeora poco a poco. Il midollo osseo è un tessuto spugnoso contenuto all'interno delle ossa lunghe e di alcune ossa piatte, dove originano cellule immature, dette anche cellule staminali o blasti, da cui si sviluppano le cellule che costituiscono la parte corpuscolata del sangue (globuli rossi, globuli. La leucemia linfoblástica aguda en adultos es un tipo de cáncer por el que la médula ósea produce demasiados linfocitos (un tipo de glóbulos blancos). Síntomas y signos aprobado por la junta editorial de cancer.net , 06/2017 en esta página : La malattia può coinvolgere le linee mieloide, monocitica, eritroide, megacariocitica e talora anche il compartimento linfoide. Jun 21, 2021 · en cambio, la leucemia mieloide aguda es poco frecuente en jóvenes con una edad media al diagnóstico de más de 60 años. Se desconoce la causa concreta de la leucemia, aunque pueden intervenir. Algunas veces se propaga a otras partes del cuerpo, incluyendo los ganglios linfáticos. Haber recibido quimioterapia y haber estado. Encontrará más información sobre los cambios en el cuerpo y otras cosas que pueden indicar un problema que requiera atención médica. La leucemia mieloide cronica (lmc) è una condizione clinica patologica determinata dalla proliferazione monoclonale incontrollata di una sola cellula multipotente colpita dall'evento leucemogeno. La leucemia mieloide crónica (chronic myeloid leukemia, cml), también conocida como leucemia mielógena crónica o leucemia granulocítica crónica, es un tipo de cáncer que se inicia en las células hematopoyéticas de la médula ósea y que invade la sangr

La leucemia mieloide aguda (aml, por sus siglas en inglés) se inicia en la médula ósea (la parte blanda del interior de ciertos huesos, donde se producen las nuevas células sanguíneas), pero con más frecuencia también pasa rápidamente a la sangre leucemia. La leucemia mieloide crónica (chronic myeloid leukemia, cml), también conocida como leucemia mielógena crónica o leucemia granulocítica crónica, es un tipo de cáncer que se inicia en las células hematopoyéticas de la médula ósea y que invade la sangr

Posting Komentar

0 Komentar